Comment je traite une TDM de perfusion cérébrale

Analyse qualitative

Cartes paramétriques couleurs pour chacun des paramètres

  • Zones pathologiques : couleurs froides

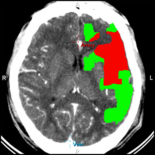
Cartes pronostique couleurs

  • Différencie les zones de nécrose des zones de pénombre






Cartes pronostique couleurs
Différencie les zones de nécrose des zones de pénombre