Comment je traite une TDM de perfusion cérébrale

Analyse quantitative







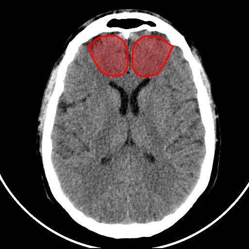
Territoire de l’artère cérébrale antérieure


















Je ne retrouve pas la source de cette image
Si c'est la votre et contactez-moi, je mettrai le lien vers la source
Je l'enleverai rapidement si il le faut
Je ne retrouve pas la source de cette image
Si c'est la votre et contactez-moi, je mettrai le lien vers la source
Je l'enleverai rapidement si il le faut
Artères cérébrales antérieure
Territoire de l’artère cérébrale antérieure