Comment je traite une TDM de perfusion cérébrale

Post-traitement



Recalage des images

Vérification du masque

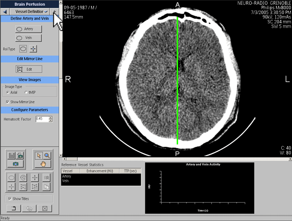
Axe de symétrie

Visualisation MIP

Définition de la fonction d’entrée artérielle

Définition de la fonction de sortie veineuse

 

 

Axe de symétrie