Comment je traite une TDM de perfusion cérébrale

Post-traitement



Recalage des images

Vérification du masque

Axe de symétrie

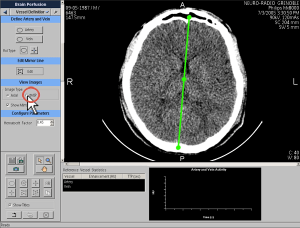
Visualisation MIP

Définition de la fonction d’entrée artérielle

Définition de la fonction de sortie veineuse

 

 

Visualisation MIP